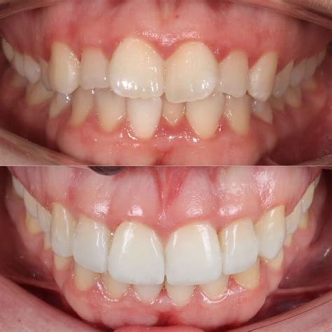
Navigating the landscape of dental care in Toronto can be daunting, especially with rising costs and varying degrees of expertise among practitioners. However, for those seeking high-quality yet affordable dental care, the city offers several options that combine cost-effectiveness with top-notch service.
Dental services in Toronto are a blend of advanced techniques and seasoned professionals who prioritize patient satisfaction. This article dives into the top affordable dentists in Toronto, bringing you expert insights and practical tips for making informed decisions.
Key Insights
- Affordable yet competent dentists in Toronto ensure high standards of care without breaking the bank.
- Location and the dentist’s specialization often correlate with cost, influencing the choice of dental services.
- Regular consultations and preventative care are key to maintaining dental health while minimizing costs.
Why Affordability Matters
Affordability in dental care isn’t just about pocket-friendly services; it’s about securing consistent and reliable care that ensures long-term health benefits. In Toronto, many dental clinics have risen to the challenge by offering competitive pricing without compromising on the quality of care. The importance of accessible dental services is paramount in maintaining overall health and wellbeing. Patients often discover that spending a bit more on regular check-ups can prevent more significant and expensive dental issues down the line.Navigating the Toronto Dental Landscape
Toronto’s dental care market boasts a wide range of options, from well-established practices to newer, budget-friendly clinics. To help navigate this landscape, it’s crucial to understand the key factors that influence cost and quality:- Location: Dental offices located in more affluent areas might have higher operational costs, translating to higher fees for patients.
- Specialization: Dentists who specialize in particular fields like orthodontics or oral surgery may charge more for their specific expertise.
- Technology: Clinics that invest in modern technology often pass on some of the costs to patients, even if they ultimately lead to better care.
By recognizing these elements, patients can make more informed decisions when selecting a dentist that fits both their financial and health needs.
Are there any free or low-cost dental services in Toronto?
While Toronto offers few fully free dental services, there are community health centers and non-profit organizations that provide low-cost or sliding scale services based on income. Additionally, dental schools often provide reduced-cost care performed by supervised students.
How can I determine the best dentist for my needs?
It’s essential to research each dentist’s credentials, read patient reviews, and consider factors such as location and specialization. Direct consultations can also help you understand if the dentist’s approach aligns with your personal care requirements.
Choosing an affordable dentist in Toronto doesn’t have to compromise on the quality of care. By understanding the market and leveraging the insights provided here, patients can confidently select a dental professional that offers exceptional service without overspending. Prioritizing preventative care and regular check-ups is also vital in maintaining dental health and mitigating future costs.
