Understanding Dental Crown Cost Recovery Time: What to Expect
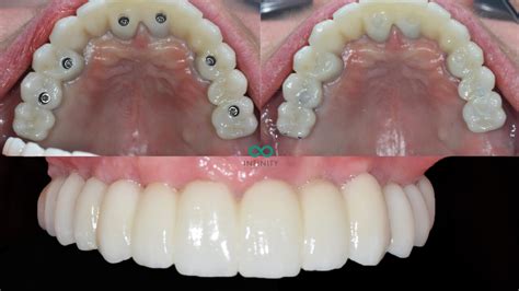
Undergoing a dental crown procedure can be a significant investment in oral health. The cost, however, is just one part of the equation; the time required for full recovery is equally important. Understanding the dental crown cost recovery time is essential for patients to mentally and physically prepare for this process. The average cost of a dental crown ranges from 800 to 3,000, depending on the material used and the complexity of the procedure. While the upfront financial commitment is notable, the downtime and overall recovery experience are just as vital.
Key Insights
- Primary insight with practical relevance: Patients should anticipate a significant adjustment period following their dental crown procedure, ranging from several days to a few weeks.
- Technical consideration with clear application: Ensuring proper aftercare can significantly influence recovery time, affecting overall patient satisfaction and dental health.
- Actionable recommendation: Patients should follow dentist-recommended aftercare guidelines meticulously to facilitate a smooth and efficient recovery process.
Aftercare protocols are crucial in understanding dental crown cost recovery time. Immediately following the procedure, patients may experience some discomfort, which can often be managed with prescribed medication. The initial days post-procedure are critical as the gums and surrounding tissues begin to heal. This initial healing phase can take up to 72 hours, during which patients should avoid chewing on the treated side to prevent any damage to the crown. It’s advisable to stick to a soft diet during this period.
The mid-recovery phase, spanning from one week to one month, involves a gradual return to regular activities. During this period, patients may notice some sensitivity in the treated area. Regular follow-ups with the dentist are necessary to monitor progress and address any concerns. Proper oral hygiene, including gentle brushing and rinsing with an antibacterial mouthwash, can help in reducing the risk of infection and promote faster healing.
Long-term recovery, which may extend up to six months, focuses on ensuring that the dental crown fits comfortably and integrates seamlessly with the natural tooth structure. During this phase, patients should attend regular dental check-ups to ensure that the crown is not causing any long-term issues, such as tooth sensitivity or gum inflammation. Persistent discomfort or unusual symptoms should be reported to the dentist immediately.
How long does it take for a dental crown to fully recover?
Full recovery for a dental crown typically spans a few weeks to six months. The initial healing phase is typically within the first 72 hours, followed by a gradual return to normal activities over the next month. Long-term integration and comfort usually takes up to six months.
What steps can I take to speed up recovery?
Following dentist-recommended aftercare guidelines is crucial. This includes taking prescribed medication for pain management, adhering to a soft diet, practicing gentle oral hygiene, and attending regular follow-up appointments. Avoiding hard or sticky foods, which can damage the crown, also helps in speeding up recovery.
Understanding the dental crown cost recovery time is not only about managing the financial aspects but also about navigating the physical and psychological journey that follows. By adhering to the proper aftercare protocols, patients can ensure a smoother recovery process, minimizing discomfort and maximizing the longevity of their investment in dental health. Ensuring proper care and following through with recommended guidelines will help patients achieve optimal results from their dental crown procedure.

